你还在为白天没有时间看牙而苦恼吗?
你还在为孩子请假看牙耽误课程而苦恼吗?
不能请假?看牙不想浪费假期?突然牙疼没地方看?
二院口腔科夜间门诊开诊啦!
为方便市民就诊,在科室常规开诊时间外增设夜间门诊
夜间门诊:每周一至周五16:00—20:00
门诊地点:门诊部三楼口腔科
科室简介:
内江市第二人民医院口腔科是集医疗、预防为一体的综合科室,现有医护人员9人,其中:副主任医师1名,主治医师1名,医师5名,主管护师1名,拥有口腔综合治疗椅8台、超声波洁治器、牙周治疗仪、根管治疗仪、超声骨刀等先进专科设备
口腔内科:
常规诊治牙体龋病、牙髓病、根尖周病、牙周病。应用现代根管治疗技术及器械对牙髓病、根尖周病进行完善的根管治疗;使用各类材料对牙体缺损的修复;前牙树脂美学修复。

儿童口腔:
主要开展对适龄儿童口腔疾病的规范化综合治疗,包括乳牙根管治疗,龋齿充填,窝沟封闭,小儿涂氟等。

口腔修复:
牙齿缺失的修复,包括开展可摘局部义齿、传统冠桥修复、全口吸附性义齿、前牙贴面修复、CAD/CAM嵌体修复等各型修复项目。

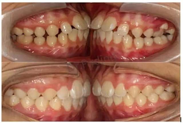
口腔正畸:
常规开展给类错颌畸形的固定矫正技术、隐形矫正技术,针对儿童、青少年的错颌畸形早期预防干预及咬合诱导、功能性矫治等。

口腔科健康咨询电话: 0832-2383172
来源:内江市第二人民医院