

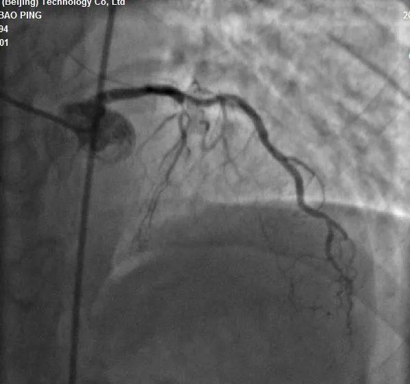
近日 长治二院心血管内科团队 成功完成 一例高难度 逆向CTO(冠状动脉慢性完全闭塞病变)介入手术 该项技术的成功突破 标志着医院心血管内科 冠脉介入技术跃 上了一个新的台阶 ...... 病例分析 手术现场 手术过程:7F LA1.0指引导管到位RCA开口,SionBlue(0.014”、0.5g)导丝送至后降支(PD3 )作为逆向导丝进入间隔支,以tip-injection技术进行间隔支超选择性造影,以明确逆向通路走形。逆行进入LAD中段,再次以tip-injection技术进行超选择性造影以明确LDA闭塞段以远情况,操纵导丝逆向行进至LAD中段闭塞段以远,尝试穿过闭塞段逆行到达LAD近段,推送逆向微导管通过闭塞段进入正向指引导管内,缓慢退出逆向系统至右冠内,逆向造影显示通路安全,撤出逆向系统。顺利预处理闭塞段病变后,于LAD近中段植入两枚支架,优化支架后,结果满意。 ▲术前造影结果 ▲术中逆向通道建立 ▲前降支CTO顺利开通 科室推荐 专家推荐 山西省心脏重症专业委员会常委、心律失常学组常委、介入学组常委。长治市心血管专业委员会、胸痛专业委员会及介入质控部副主任委员。 咨询热线 长治二院心血管内科 0355—3126031 冯翠萍主任 18603550120 姬小飞副主任 15635585652 李晋创医生 13546516641 供 稿丨冯翠萍 李晋创 编 辑丨卞 晨 审 核丨雷 赫










■90岁老人的30年顽疾在长治二院普外二病区成功解决
■长治二院9月12日—9月18日门诊医师最新出诊信息
■“方寸”之间绽芳华——记市第二人民医院口腔科主任李灵芝

