

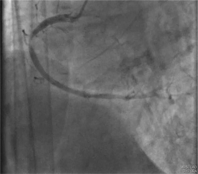
一面锦旗,不仅仅代表患者对疾病治疗效果的认可,更是对医护团队的认可。近日,年过八旬的逯奶奶和其家属将一面写有“精湛医术出妙手 体贴入微胜亲人”的锦旗送入长治市第二人民医院心血管内科医护人员手中,表达了患者对心血内科全体医护人员的感激之情。 患者家属说:“我母亲经过冯翠萍主任、王涛医生以及全体护理人员的积极治疗、精心护理,病情逐渐好转并康复出院。他们严谨、细心、热情的工作精神,精湛的医学技术,让我和我的家人非常感动和十分敬佩,非常感谢心血管内科全体医护人员,千言万语难表内心真情,唯有送上锦旗表示感谢。” 医术精湛 精心 患者逯奶奶已年过八旬,2023年11月发病至今的半年多时间里,多次因心肌梗死、心力衰竭,也多次就诊于我市多家医院;今年5月患者再次出现心绞痛症状,发作频繁,无法耐受,逯奶奶为求诊治就诊我院心血管内科进一步治疗。 入院后,主管医师王涛仔细询问病史并为其进一步进行检查。患者逯奶奶由于年岁已高,基础性疾病较多,既往曾在外院行冠脉造影术,血管扭曲,风险大。心血管内科主任冯翠萍、主管医师王涛再次为患者评估,患者为高龄,冠脉入路血管扭曲严重,手术风险极高;重新评估冠脉手术操作入路,因右桡动脉入路无法到达右冠,股动脉闭塞、狭窄无法进行穿刺,最终选择从左桡动脉进行手术。术中逯奶奶左侧动脉扭曲严重,在孙涛教授指导下,顺利找到罪犯血管,狭窄最重处达到99%,给予支架治疗,术后在心血内科医护人员的精心治疗和护理下,逯奶奶未再出现心绞痛发作,顺利康复出院。 冯翠萍主任亲切的说:“锦旗是赞许、是荣誉,更是对我们的鼓励和鞭策,一面锦旗承载着患者对医院的信任和感激,象征着医患情深,长治二院心血管内科团队将以此为动力,更加努力地为每一位患者提供更优质的诊疗方案及服务。” 病情分析 左侧动脉严重扭曲 右冠为罪犯血管,第一转折处节段性狭窄90-99% 右冠植入1枚支架术后,未见残余狭窄 科 长治市第二人民医院心血管内科成立于2011年1月,是长治市市级重点专科,是以临床药物治疗、心脏介入、心脏功能评估、心脏康复为主要手段,集临床、科研、教学、预防、康复为一体的综合性心血管专科。 心血管内科现有医护人员26人,其中硕士研究生4人、主任医师1人、副主任医师1人、主治医师6人、住院医师2人、副主任护师1人、主管护师3人、护师(士)8人。目前科室开放床位30张,重症监护病房(CCU)床位8张。科室能够诊治疾病有:冠心病、各种心律失常、心脏瓣膜病、心肌病、心肌炎、心力衰竭、高血压、肺栓塞、下肢静脉血栓等各类常见及疑难心血管疾病。常年开展常诊、急诊冠脉造影及支架植入术,各种心律失常的射频消融术,心脏起搏器植入术,先天性心脏病介入封堵术。 心血管内科培养了一支专业技术过硬、团结进取、勇于创新的心血管疾病诊疗团队,全科医护人员以“医者仁心、救死扶伤”竭诚为广大心血管疾病患者提供最优质的医疗服务。 咨询热线 长治二院心血管内科 0355—3126031 冯翠萍主任 18603550120 王涛医生 18635550969 编 辑丨卞 晨 审 核丨雷 赫







■守“护”温暖 最美“士”你 | 优秀护士风采—张晓华:身边的榜样 前行的力量
■守“护”温暖 最美“士”你 | 优秀护士风采—曹丽护士长:护理战线的爱心使者
■“科研门诊”正式开诊
■改善就医感受提升患者体验 积极推进检验结果互认工作

